바로가기 메뉴
본문내용 바로가기
하단내용 바로가기

결절성 경화증 신생아에서 발생한 좌심실 유입로를 막는 심장 횡문근종의 자연적 퇴화 일례

결절성 경화증 신생아에서 발생한 좌심실 유입로를 막는 심장 횡문근종의 자연적 퇴화 일례

Spontaneous regression of cardiac rhabdomyoma presenting as severe left ventricular inlet obstruction in neonate with tuberous sclerosis

심장(포스터):심장-P-062
Release Date : 2016년 11월 10일(목) 12:00 전시장
Gun Kim1, In Ji Hwang1, Mi-Ji Lee1, Wha-Jin Cho1, Kumi Jeong1 , Young Kuk Cho1
Chonnam National University Hospital Pediatrics1
김건1, 황인지1, 이미지1, 조화진1, 정금희1 , 조영국1
전남대학교병원 소아청소년과1

Abstract

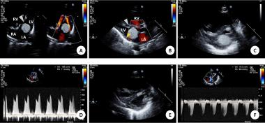
Cardiac rhabdomyoma can be subclinical or have a fatal presentation according to the onset age and involving the site, size and degree of invasion. Although most rhabdomyomas become smaller with time, emergency intervention is indicated when severe obstruction induces hemodynamic instability. There is no recorded report of spontaneous resolution of huge symptomatic cardiac rhabdomyoma causing left ventricle inlet obstruction. In this report, we describe a case of spontaneous regression of large cardiac rhabdomyoma (20.5 X 15.6 mm) presenting as severe left ventricle inlet obstruction occupying 75-90 % of the mitral valve annulus in a neonate with tuberous sclerosis. Although the cardiac rhabdomyoma can be huge enough to induce LV inlet obstruction, conservative treatment without aggressive surgical intervention can be considered if the hemodymic condition does not deteriorate.

Keywords: Cardiac rhabdomyoma, LV inlet obstruction, Tuberous sclerosis, ,